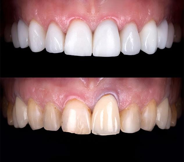
Dacă îți ascunzi zâmbetul din cauza petelor, formelor inegale sau spațiilor vizibile, atunci…
Obține zâmbetul ideal cu Protocolul Estetic cu Fațete Dentare Dr. Jawoosh, fără durere sau pilirea excesivă a dinților, în doar 2 săptămâni!
Vezi cum va arăta zâmbetul tău înainte să începem, cu ajutorul planului de tratament digital. Fără durere. Fără compromisuri. Doar un zâmbet natural, rapid și impecabil.
- List Item #1
- List Item #1
- List Item #1
- List Item #1
- List Item #1
- List Item #1
- List Item #1
- List Item #1
Zâmbetul tău nu mai trebuie să aștepte.
Știu ce simți…
Îți acoperi gura când râzi.
Zâmbești doar cu buzele.
Te uiți în oglindă și vezi pete, colțuri ciobite, dinți inegali sau spații pe care încerci să le ignori.
Poate ai încercat albiri care nu au funcționat.
Poate ți s-a spus că „așa e forma ta naturală” și trebuie să te obișnuiești cu ea.
Sau poate ai tot amânat ideea unui tratament, crezând că e dureros, complicat sau prea costisitor.
Dar adevărul e că un zâmbet imperfect nu e ceva cu care trebuie să te resemnezi.
Cu Protocolul Estetic Dr. Jawoosh™, poți obține un zâmbet natural, luminos și perfect simetric — în doar 2 săptămâni.
Fără durere. Fără pilirea excesivă a dinților. Fără incertitudini.
Și cel mai important?
Vezi rezultatul final încă de la prima vizită, cu ajutorul unui plan digital 3D personalizat, astfel încât știi exact cum va arăta zâmbetul tău înainte de a începe procedura.
E mai mult decât un tratament estetic.
Este începutul unei versiuni mai încrezătoare a ta.
Cine poate beneficia de procedură?
Protocolul Estetic Dr. Jawoosh™ este soluția ideală pentru persoanele care își doresc un zâmbet perfect, corectat estetic, fără intervenții complicate sau aparate ortodontice.
Ai dinți pătați sau decolorați
Pentru cei care s-au săturat de albiri repetate care nu funcționează și vor o culoare uniformă, albă și naturală, care să reziste în timp.
Ai dinți inegali, cu forme asimetrice
Dacă te deranjează forma unora dintre dinți — prea scurți, colțuroși sau nealiniați — fațetele oferă o armonizare completă a zâmbetului.
Ai spații vizibile între dinți (diasteme)
O opțiune excelentă pentru închiderea spațiilor mici fără aparat dentar și fără tratamente ortodontice de durată.
Ai dinți ciobiți, fisurați sau ușor tociți
Ideal pentru refacerea estetică a dinților afectați de uzură, traumatisme minore sau aliniamente neregulate.
Am redat sute de zâmbete
Nimic nu spune mai multe decât poveștile celor care au trecut deja prin această transformare. Vezi ce spun pacienții care au ales clinica noastră pentru tratamente cu fațete dentare și cum le-a schimbat viața această decizie.
Publicat pe Claudiu Nicolae DrăgănoiuTrustindex verifică că sursa originală a recenziei este Google. Sunt foarte mulțumit de serviciile oferite de acest cabinet! Dr. Jawoosh este un adevărat expert, iar echipa este profesionistă și amabilă. M-au făcut să mă simt în siguranță și bine îngrijit. Recomand cu încredere!Publicat pe Cosmin NeaguTrustindex verifică că sursa originală a recenziei este Google. Foarte profesionisti! Recomand cu incredere!🤝Publicat pe AlzTrustindex verifică că sursa originală a recenziei este Google. Good place for implants and crowns.Publicat pe Sami GhafouriTrustindex verifică că sursa originală a recenziei este Google. O clinica de nota 10, recomand cu drag dr Ali Jawoosh! Un chirurg exceptional!!Publicat pe Stefania IoniciTrustindex verifică că sursa originală a recenziei este Google. Am fost pentru o descoperire de implant și protezare la domnul doctor Ali si totul a fost super ok 👏Publicat pe Mariana MilitaruTrustindex verifică că sursa originală a recenziei este Google. Recomand cu toată încrederea profesionalismul, amabilitatea, și căldura sufleteasca a acestor oameni(doctori) tineri și frumoși și mulțumesc pentru extracții și implanturi fără dureri. Spor la lucruPublicat pe Daianca marcovTrustindex verifică că sursa originală a recenziei este Google. Super profesioniști! Servicii impecabile, amabilitate, promptitudine. Recomand cu încredere. Vă mulțumesc 🙏Certificat de: TrustindexInsigna verificată Trustindex este Simbolul Universal al Încrederii. Doar cele mai bune companii pot obține insigna verificată cu un scor de recenzie deasupra 4.5, bazat pe recenziile clienților din ultimele 12 luni. Citește mai mult
Cazuri Înainte - După
Raluca - Fațete, implanturi și albire
Tratamentul a inclus 10 fațete eMax premium, 3 implanturi Neodent și albire dentară. Totul realizat după tratament ortodontic, pentru o mușcătură corectă și estetică.
Andrei - Fațete, coroane și implanturi
Pacientul a venit la clinică nemulțumit de forma dinților și cu disconfort la masticație din cauza lipsei unora în zona posterioară. A urmat un tratament complet cu fațete, coroane și implanturi.
Adrian - Coroane zirconiu
Pacientul a venit nemulțumit de zâmbet și cu lucrări dentare vechi. S-a realizat o reabilitare estetică completă a maxilarului prin coroane din zirconiu, pentru un rezultat natural și durabil.
Avantajele tratamentului cu fațete dentare
Un zâmbet impecabil nu e un lux — e o decizie care îți schimbă modul în care te vezi, te simți și te exprimi în fiecare zi.
Estetică impecabilă, instant
Fațetele oferă o transformare completă a zâmbetului tău — dinți perfect aliniați, culoare uniformă, formă armonioasă. Totul într-un aspect natural, nu artificial.
Minim invaziv, fără durere
Procedura presupune o șlefuire minimă sau chiar zero în unele cazuri. Totul se face sub anestezie locală, fără disconfort sau recuperare dificilă.
Rezultate personalizate
Zâmbetul este proiectat digital în funcție de trăsăturile tale faciale, vârsta și dorințele tale. Nu există două zâmbete la fel.
Rezultate rapide, în doar 2 săptămâni
De la prima consultație până la zâmbetul final, totul este planificat eficient. Nu aștepți luni întregi. Vezi schimbarea rapid.
Rezistență și durabilitate
Fațetele sunt realizate din materiale premium precum porțelanul sau zirconiu, cu o durată de viață de peste 10 ani, dacă sunt întreținute corect.
Zâmbetul care îți schimbă starea de spirit
Poate cel mai important beneficiu: fațetele nu îți schimbă doar dinții, ci întreaga energie. Te vezi diferit. Te simți diferit. Și se vede.
Îngrijire ușoară
Nu ai nevoie de soluții speciale sau proceduri complicate. Igiena dentară clasică e suficientă pentru a menține fațetele impecabile.
Vezi rezultatul final înainte să înceapă tratamentul
Cu ajutorul tehnologiei digitale, zâmbetul tău este proiectat în avans. Asta înseamnă zero incertitudine și 100% control asupra rezultatului final.
Zâmbete care vorbesc de la sine.
Fiecare zâmbet reconstruit spune o poveste — despre încredere recâștigată, despre viață trăită fără jenă și despre oameni care au făcut pasul spre o schimbare reală. Vezi ce spun cei care au trecut prin această experiență.
Programează-ți Consultația
Rezervă-ți consultația acum și primește un discount de 100 lei, plan de tratament GRATUIT și rambursarea costului din prețul tratamentului.
Etapele tratamentului
Fiecare pas este gândit pentru confortul tău, siguranța estetică și un rezultat personalizat. Știi din start cum va arăta zâmbetul tău — fără surprize, fără riscuri, fără compromisuri.
Consultația inițială + Scanare Digitală
Totul începe cu o consultație detaliată, unde discutăm obiectivele tale estetice. Se realizează o scanare intraorală 3D și fotografii, pentru a înțelege exact nevoile și particularitățile tale dentare.
Designul digital al zâmbetului tău
Cu ajutorul software-ului specializat, medicul creează un plan personalizat al viitoarelor fațete, pe care îl poți vedea înainte de începerea tratamentului. Poți valida forma, culoarea și armonia zâmbetului.
Pregătirea minim invazivă a dinților
În funcție de caz, se face o șlefuire foarte fină (sau deloc) a dinților pentru a crea spațiu fațetelor. Procedura este complet nedureroasă, realizată sub anestezie locală.
Aplicarea fațetelor provizorii (opțional)
Dacă este nevoie, se montează fațete temporare pentru a te obișnui cu noua formă și a proteja dinții până la finalizare. Acestea sunt estetice și confortabile.
Montarea fațetelor definitive
După validarea formei și culorii, fațetele finale sunt aplicate cu cimenturi speciale de ultimă generație, garantând o prindere perfectă, durabilă și estetic impecabilă.
Îngrijire și menținere pe termen lung
Veți primi recomandări clare pentru igiena zilnică, precum și programări periodice de control și igienizare profesională. Astfel, zâmbetul tău va rămâne perfect ani de zile.












Îți Oferim și Prețul Cel Mai Mic
Am pregătit pachete speciale care includ tot ce ai nevoie pentru a obține o dantură fixă într-o singură zi — de la consultație, la implanturi și lucrarea provizorie. Fără costuri ascunse, fără surprize, totul transparent de la început.
10 Fațete Dentare - Silver
13.000 RON
7.500 RON
Include:
- Consultație
- Wax-up digital
- Mock-up
- Design personalizat
- Fațete definitive
- Fațete provizorii
- Controale la 6 luni gratuite
- Pachet de profilaxie gratuit pentru 1 an
10 Fațete Dentare E-Max- Premium
22.500 RON
20.000 RON
Include:
- Consultație
- Wax-up digital
- Mock-up
- Design personalizat
- Fațete definitive
- Fațete provizorii
- Controale la 6 luni gratuite
- Pachet de profilaxie gratuit pentru 1 an
20 Fațete Dentare - Gold
19.000 RON
15.000 RON
Include:
- Consultație
- Wax-up digital
- Mock-up
- Design personalizat
- Fațete definitive
- Fațete provizorii
- Controale la 6 luni gratuite
- Pachet de profilaxie gratuit pentru 1 an
Echipa noastră
Medicii noștri combină experiența, pregătirea continuă și grija față de pacient pentru a oferi nu doar soluții eficiente, ci și o experiență plăcută la fiecare vizită. Te invităm să ne cunoști!
Dr. Ali Jawoosh
Medic Coordonator și Specialist Chirurgie Dento-Alveolara
Dr. Fatma Kambash
Specialist Ortodonție și Ortopedie Dento-Facială
Dr. Simon Sorin
Medic Primar Anestezie si Terapie Intensivă
Dr Dana Andos
Medic stomatolog
Add Your Heading Text Here
Lorem ipsum dolor sit amet, consectetur adipiscing elit. Suspendisse varius enim in eros elementum tristique. Duis cursus, mi quis viverra ornare, eros dolor interdum nulla, ut commodo diam libero vitae erat.
Când NU sunt recomandate fațetele dentare
Pentru următoarele situații ale danturii nu se recomandă tratamentul cu fațete dentare.
Probleme structurale majore ale dinților
În cazurile în care dinții sunt grav afectați de carii extinse, fracturi profunde sau pierdere severă de smalț, fațetele nu sunt suficiente. În astfel de situații, soluții precum coroanele dentare pot oferi o restaurare mai sigură și durabilă.
Bruxism sever și ocluzie incorectă
Scrâșnirea involuntară a dinților (bruxismul) sau malocluziile netratate pot compromite stabilitatea fațetelor. În aceste cazuri, se recomandă tratamente corective înainte de fațetare, pentru a preveni desprinderea sau deteriorarea lucrărilor.
Afecțiuni gingivale sau obiceiuri dăunătoare
Fațetele nu se aplică pe dinți afectați de inflamații gingivale, infecții sau retracții netratate. De asemenea, obiceiurile precum roaderea unghiilor, deschiderea ambalajelor cu dinții sau consumul excesiv de băuturi acide pot afecta durata de viață a fațetelor.
Ofertele prezentate au caracter limitat și ne rezervăm dreptul să le retragem oricând. Profită de ele, cât încă sunt disponibile.
Întrebări Frecvente (FAQ)
Ai întrebări? E normal. Aici am adunat cele mai frecvente nelămuriri despre tratamentul cu fațete dentare, astfel încât să ai toate informațiile înainte să faci pasul spre un zâmbet nou.
Am văzut pe internet dinți piliți „ca de rechin” pentru fațete. E adevărat?
Acelea nu sunt fațete, ci coroane dentare. Imaginea cu dinții ascuțiți drastic circulă des online, dar se referă la pregătirea necesară pentru aplicarea coroanelor — nu a fațetelor.
În cazul fațetelor dentare, pregătirea este minimă: se șlefuiește doar stratul superficial al smalțului, într-o grosime de maximum 0.3–0.5 mm, suficient cât fațeta să se așeze perfect și să ofere un aspect natural.
Așadar, nu trebuie să-ți faci griji — dinții tăi vor rămâne sănătoși, protejați și cu un zâmbet impecabil.
Doare aplicarea fațetelor dentare?
Nu. Procedura este minim invazivă și se face, de regulă, fără durere. În unele cazuri, se poate folosi anestezie locală pentru confort maxim, dar majoritatea pacienților nu resimt disconfort în timpul aplicării.
Cât timp rezistă fațetele dentare?
Fațetele din ceramică sau zirconiu pot rezista 10–15 ani sau chiar mai mult, dacă sunt îngrijite corespunzător. Igiena zilnică și controalele regulate la medic sunt esențiale pentru longevitatea tratamentului.
Se pătează sau își schimbă culoarea în timp?
Fațetele de calitate, realizate din ceramică sau zirconiu, nu se pătează și își păstrează culoarea pe termen lung. Totuși, este bine să eviți obiceiuri dăunătoare, precum fumatul sau consumul excesiv de băuturi colorate, pentru a menține un aspect impecabil.
Cât durează până primesc zâmbetul final?
Tratamentul complet durează, în medie, 7–14 zile, în funcție de complexitatea cazului și de numărul de fațete. În această perioadă, poți alege să prți fațete provizorii, astfel încât să nu rămâi niciun moment fără zâmbetul dorit.
Rezervă Consultația
Fă primul pas fără niciun risc! Rezervă o consultație, iar echipa noastră îți va oferi o evaluare completă, claritate în opțiuni și un plan personalizat — fără grabă, fără obligații și cu rambursarea costului în planul de tratament.
Ce include consultația?
- Plan de Tratament GRATUIT
- 100 Lei REDUCERE
- Rambursarea costului în planul de tratament
- Plan de Tratament GRATUIT
- 100 Lei REDUCERE
- Rambursarea costului în planul de tratament
Unde ne găsești?
Suntem aici pentru tine, oricând ai nevoie de un zâmbet în plus. Găsește-ne ușor și contactează-ne pentru programări sau întrebări.
Adresa
Strada Zizin 6, Sector 3, București
Orar
Luni - Vineri: 09:00 - 20:00
Sambătă: Închis
Duminică: ÎnchisDate contact
Clinica Dr. Jawoosh
+40 724 181 992
+40 731 767 333
contact@drjawoosh.ro
clinicadrjawoosh@gmail.com