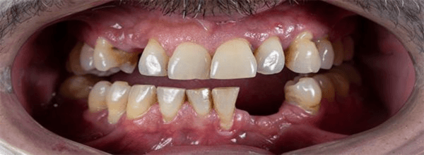
Dacă ai pierdut unul sau mai mulți dinți și zâmbești mereu cu gura închisă, atunci…
Descoperă protocolul unic de implant dentar cu care îți redăm forma inițială a zâmbetului în 34 minute și cu cele mai mici prețuri!
Cu Protocolul de implant dentar Dr. Jawoosh, beneficiezi de o soluție rapidă, fixă și estetică, prin care îți recapeți zâmbetul natural — fără durere, fără compromisuri, fără așteptare.
- List Item #1
- List Item #1
- List Item #1
- List Item #1
- List Item #1
- List Item #1
- List Item #1
- List Item #1
Zâmbetul tău nu mai trebuie să aștepte.
Știu cum e…
Eviți să zâmbești larg — chiar și în poze.
Mănânci doar pe o parte sau eviți alimentele mai tari.
Iar uneori, îți trece prin cap că un singur dinte lipsă îți poate strica încrederea într-un moment important.
Poate că ai pierdut un dinte de ceva timp, poate sunt doi sau trei…
Și de atunci, tot amâni soluția, fie din teamă de durere, fie pentru că ți s-a spus că va fi complicat sau scump.
Dar ce-ar fi dacă ți-am spune că există o metodă nouă, rapidă și minim invazivă prin care îți recapeți nu doar dintele, ci și siguranța de sine?
Protocolul de implant dentar Dr. Jawoosh este conceput special pentru astfel de cazuri — în care lipsa unui dinte afectează mai mult decât mestecatul: îți afectează zâmbetul, încrederea și confortul de zi cu zi.
În doar 34 de minute, poți avea un implant dentar complet integrat, estetic și stabil — fără durere, fără complicații și cu cele mai mici costuri posibile.
Nu e doar un tratament.
E momentul în care reiei controlul asupra zâmbetului tău.
Cine poate beneficia de procedură?
Protocolul de implant dentar Dr. Jawoosh se adresează persoanelor care au pierdut unul sau mai mulți dinți și vor o soluție fixă, sigură și estetică — fără proteze mobile sau intervenții complicate.
Ai pierdut un singur dinte
Ideal pentru cei care au suferit o extracție sau au pierdut un dinte în urma unui traumatism și doresc o soluție fixă, estetică și pe termen lung.
Ai mai mulți dinți lipsă, dar nu vrei punți sau proteze
Potrivit pentru pacienții care nu vor să sacrifice dinți sănătoși pentru punți sau să se confrunte cu disconfortul protezelor mobile.
Vrei să-ți recapeți funcționalitatea masticației
Implantul redă capacitatea de a mesteca normal, fără durere sau restricții alimentare, chiar și în zonele laterale unde dinții lipsă îți afectează alimentația.
Te preocupă estetica zâmbetului tău
Pentru cei care vor un zâmbet complet și natural, fără goluri inestetice sau soluții temporare vizibile.
Am redat sute de zâmbete
Nimic nu spune mai multe decât poveștile celor care au trecut deja prin această transformare. Vezi ce spun pacienții care au ales clinica noastră pentru tratamente cu implant dentar și cum le-a schimbat viața această decizie.
Publicat pe Claudiu Nicolae DrăgănoiuTrustindex verifică că sursa originală a recenziei este Google. Sunt foarte mulțumit de serviciile oferite de acest cabinet! Dr. Jawoosh este un adevărat expert, iar echipa este profesionistă și amabilă. M-au făcut să mă simt în siguranță și bine îngrijit. Recomand cu încredere!Publicat pe Cosmin NeaguTrustindex verifică că sursa originală a recenziei este Google. Foarte profesionisti! Recomand cu incredere!🤝Publicat pe AlzTrustindex verifică că sursa originală a recenziei este Google. Good place for implants and crowns.Publicat pe Sami GhafouriTrustindex verifică că sursa originală a recenziei este Google. O clinica de nota 10, recomand cu drag dr Ali Jawoosh! Un chirurg exceptional!!Publicat pe Stefania IoniciTrustindex verifică că sursa originală a recenziei este Google. Am fost pentru o descoperire de implant și protezare la domnul doctor Ali si totul a fost super ok 👏Publicat pe Mariana MilitaruTrustindex verifică că sursa originală a recenziei este Google. Recomand cu toată încrederea profesionalismul, amabilitatea, și căldura sufleteasca a acestor oameni(doctori) tineri și frumoși și mulțumesc pentru extracții și implanturi fără dureri. Spor la lucruPublicat pe Daianca marcovTrustindex verifică că sursa originală a recenziei este Google. Super profesioniști! Servicii impecabile, amabilitate, promptitudine. Recomand cu încredere. Vă mulțumesc 🙏Certificat de: TrustindexInsigna verificată Trustindex este Simbolul Universal al Încrederii. Doar cele mai bune companii pot obține insigna verificată cu un scor de recenzie deasupra 4.5, bazat pe recenziile clienților din ultimele 12 luni. Citește mai mult
Cazuri Înainte - După
Dantură fixă pe 6 implanturi
Reabilitare totală cu dantură fixă pe 6 implanturi dentare, a unui pacient care s-a prezentat cu parodontoză avansată și multiple infecții osoase.
Dantură fixă pe 6 implanturi
Reabilitare totală cu dantură fixă (6 implanturi dentare sus și 6 jos), plus adiție osoasă a unui pacient care s-a prezentat cu parodontoză avansată și multiple infecții osoase.
Dantură fixă pe 4 implanturi
Reabilitarea arcadei superioare cu dantură fixă pe 4 implanturi clasice și 2 pterigoidiene, a unui pacient cu parodontoză avansată, lucrări vechi și mobile, și dinți irecuperabili.
Avantajele implantului dentar
Când îți înlocuiești dintele lipsă cu un implant stabil, estetic și complet funcțional, nu doar că zâmbești din nou cu încredere — dar mănânci, vorbești și trăiești fără restricții sau stres.
Stabilitate fixă, fără compromisuri
Implantul este ancorat direct în os, oferind o senzație naturală, fără riscul de mișcare, cădere sau jenă.
Funcționalitate completă
Poți mânca normal, fără să eviți alimente tari sau crocante — exact ca înainte.
Estetică personalizată
Coroana este realizată pentru a se integra perfect în culoarea, forma și linia zâmbetului tău.
Durabilitate pe termen lung
Implanturile sunt concepute să reziste ani de zile sau chiar o viață întreagă, dacă sunt întreținute corect.
Previne pierderea osoasă
Implantul stimulează osul maxilar exact ca o rădăcină naturală, prevenind retracțiile și modificările faciale în timp.
Confort real, fără iritații
Spre deosebire de proteze sau punți, implantul nu afectează dinții sănătoși și nu provoacă inflamații sau disconfort.
Întreținere simplă
Se îngrijește exact ca un dinte natural, fără soluții speciale sau proceduri complicate.
Aspect estetic
Zâmbetul tău este refăcut pe loc, cu o lucrare provizorie fixă care arată natural și îți dă încredere imediat.
Zâmbete care vorbesc de la sine.
Fiecare zâmbet reconstruit spune o poveste — despre încredere recâștigată, despre viață trăită fără jenă și despre oameni care au făcut pasul spre o schimbare reală. Vezi ce spun cei care au trecut prin această experiență.
În permanent dialog cu excelența
Suntem mereu acolo unde se definește viitorul stomatologiei — la congrese, simpozioane sau cursuri internaționale de top. Schimbăm idei cu profesori renumiți la nivel global și aducem în clinică cele mai noi abordări, tehnici și standarde.
Totul pentru ca tu să beneficiezi de tratamente sigure, moderne și personalizate.
Programează-ți Consultația
Rezervă-ți consultația acum și primește un discount de 100 lei, plan de tratament GRATUIT și rambursarea costului din prețul tratamentului.
Etapele tratamentului
Fiecare etapă este gândită pentru a-ți oferi siguranță, confort și rezultate durabile. De la prima consultație până la zâmbetul final, știi exact ce urmează — fără surprize, fără griji.
Consultația inițială
Totul începe cu o vizită în clinica noastră. Medicul specialist chirurg discută cu tine despre istoricul tău dentar, nevoile specifice și așteptările tale. Se realizează o tomografie computerizată (CT) și radiografii pentru a evalua densitatea osoasă și a planifica cu precizie fiecare detaliu.
Intervenția chirurgicală
Se administrează anestezie locală pentru un confort total. Se inserează implantul dentar în osul maxilar, într-o procedură minim invazivă care durează aproximativ 34 de minute. Nu simți durere și nu rămân traume.
Perioada de vindecare (3–6 luni)
În acest timp are loc osteointegrarea — adică implantul se prinde solid în os. Vei veni la controale periodice incluse în tratament, iar dacă este cazul, îți putem oferi o lucrare temporară pentru confort estetic și funcțional.
Atașarea bontului și a coroanei dentare
După integrarea completă, se descoperă implantul (o intervenție simplă, de 15–20 minute), se ia amprenta, iar în maxim 7 zile îți montăm coroana dentară finală — perfect adaptată zâmbetului tău.
Îngrijirea pe termen lung
Ca și dinții naturali, implantul are nevoie de igienă riguroasă: periaj, ață dentară și vizite regulate pentru control și igienizare profesională. Astfel, îți protejezi investiția și te bucuri de rezultate pe viață.












Îți Oferim și Prețul Cel Mai Mic
Am pregătit pachete speciale care includ tot ce ai nevoie pentru a obține o dantură fixă într-o singură zi — de la consultație, la implanturi și lucrarea provizorie. Fără costuri ascunse, fără surprize, totul transparent de la început.
Implant Dentar JDental
2.250 RON
1.800 RON
Include:
- Planificare și construcție inițială
- Implant dentar premium J Dental
- Tehnologie PRF pentru regenerare rapidă
- Controale post-operatorii incluse
- Lucrări de înaltă calitate
- Fără coroană dentară inclusă
- Fără sinus lift/adăudare de os
Implant Dentar Neodent
2.750 RON
2.500 RON
Include:
- Planificare și construcție inițială
- Implant dentar premium Neodent
- Tehnologie PRF pentru regenerare rapidă
- Controale post-operatorii incluse
- Calitate garantată pentru rezultate perfecte
- Fără coroană dentară inclusă
- Fără sinus lift/adăudare de os
Implant Dentar Complet
3.650 RON
3.000 RON
Include:
- Planificare și construcție inițială
- Implant dentar premium J Dental
- Tehnologie PRF pentru regenerare rapidă
- Controale post-operatorii incluse
- Totul inclus pentru un zâmbet complet
- bont (abutment) și coroană incluse
- Fără sinus lift/adăudare de os
Echipa noastră
Medicii noștri combină experiența, pregătirea continuă și grija față de pacient pentru a oferi nu doar soluții eficiente, ci și o experiență plăcută la fiecare vizită. Te invităm să ne cunoști!
Dr. Ali Jawoosh
Medic Coordonator și Specialist Chirurgie Dento-Alveolara
Dr. Fatma Kambash
Specialist Ortodonție și Ortopedie Dento-Facială
Dr. Simon Sorin
Medic Primar Anestezie si Terapie Intensivă
Dr Dana Andos
Medic stomatolog
Ofertele prezentate au caracter limitat și ne rezervăm dreptul să le retragem oricând. Profită de ele, cât încă sunt disponibile.
Add Your Heading Text Here
Lorem ipsum dolor sit amet, consectetur adipiscing elit. Suspendisse varius enim in eros elementum tristique. Duis cursus, mi quis viverra ornare, eros dolor interdum nulla, ut commodo diam libero vitae erat.
Lucrarea finala
După ce implanturile s-au integrat complet, urmează pasul cel mai important: realizarea lucrării definitive.
O bază solidă pentru zâmbetul tău definitiv
După aproximativ 4-6 luni pana la 1 an de la inserarea implanturilor și montarea lucrării provizorii, urmează etapa finală: aplicarea danturii definitive. În acest interval, implanturile s-au osteointegrat complet, oferind o bază solidă pentru lucrarea permanentă.
Tehnologie, precizie și estetică personalizată
Etapa începe cu o evaluare clinică și imagistică pentru a verifica stabilitatea implanturilor. Apoi, se realizează amprente digitale sau clasice, iar tehnicianul dentar creează o lucrare personalizată, adaptată perfect fizionomiei și dorințelor estetice ale pacientului.
Tu alegi forma, culoarea și detaliile finale
Pacientul are un rol activ în alegerea formei, nuanței și poziției dinților, pentru un rezultat cât mai natural. Se face o probă estetică, în care se ajustează toate detaliile pentru confort maxim și un zâmbet armonios. Bugetul acesteia pornește de la 10000 lei in funcție de materialul ales.
Lorem ipsum dolor sit amet, consectetur adipiscing elit. Ut elit tellus, luctus nec ullamcorper mattis, pulvinar dapibus leo.
Întrebări Frecvente (FAQ)
Ai întrebări? E normal. Aici am adunat cele mai frecvente nelămuriri despre protocolul de implant dentar Dr. Jawoosh, astfel încât să ai toate informațiile înainte să faci pasul spre un zâmbet nou.
Doare această intervenție?
Inserarea implanturilor se realizează FǍRǍ DURERE, datorită anesteziei locale. Imediat după intervenție medicul va prescrie medicamentația necesară pentru a reduce durerile si inflamația post-operatorie.
Ce investigație se face înaintea începerii tratamentului?
Înainte de începerea tratamentului este necesară o tomografie computerizată (CT), pe baza căreia se va pune un diagnostic concret. Prin intermediul CT-ului, medicul chirurg va evalua densitatea osulu si va indentifica poziția formațiunilor anatomice cum ar fi: nervul alveolar și gaura mentoniera la mandibulǎ și sinusul maxilar.
Totodata în funcție de starea dvs. de sănătate se vor cere suplimentar teste de sânge.
Cât de sigure sunt implanturile dentare?
Implanturile dentare au o rată de succes de peste 95%, dacă sunt plasate de un specialist
experimentat și dacă pacientul respectă instrucțiunile de îngrijire post-operatorie. În cazuri
rare, pot apărea complicații, dar majoritatea sunt gestionabile dacă sunt detectate la timp.
Pof fi respinse de organism implanturile dentare?
Respingerile sunt rare, dar pot apărea în cazuri în care implantul nu se integrează
corespunzător cu osul sau dacă există o infecție. De obicei, implanturile sunt realizate din
materiale biocompatibile, ceea ce reduce semnificativ riscul de respingere.
Este necesară o îngrijire specială pentru implanturi?
Îngrijirea implanturilor este similară cu cea a dinților naturali: periaj de două ori pe zi,
folosirea aței dentare, și vizite regulate la dentist. Este important să se evite forțarea
excesivă a implanturilor și să se mențină o igienă orală excelentă pentru a preveni
infecțiile.
Pot fuma după inserarea implanturilor?
Pot fuma după inserarea implanturilor? Este recomandată evitarea fumatului, deoarece nicotina afectează vindecarea de după operație mai mult de atât, fumatul are efect negativ și în ceea ce privește osteointegrarea, transformând vindecarea într-un proces mult mai îndelungat.
Ce trebuie să fac la finalul intervenției?
După inserarea implanturilor dentare, este necesar sǎ respectați indicațiile medicului chirurg.
Acestea pot include: regim alimentar, igiena riguroasa, controale periodice post-operatorii.
Ce fac dacă nu am suficient os pentru implant?
Dacă osul maxilarului nu este suficient pentru a susține un implant, există opțiuni de
augmentare osoasă, cum ar fi grefele osoase sau sinus lift-ul, care pot adăuga volum osos
și permit plasarea implantului.
Cât timp rezistă un implant dentar?
Cu o îngrijire orală adecvată și vizite regulate la dentist, un implant dentar poate dura o
viață întreagă. Coroanele dentare care sunt atașate la implanturi pot necesita înlocuire
după 10-15 ani, în funcție de uzură.
Ce riscuri sau complicații pot apărea?
Deși riscurile sunt rare, pot apărea complicații precum infecția, sângerarea excesivă,
afectarea nervilor sau respingerea implantului. Majoritatea acestor riscuri pot fi gestionate
dacă sunt identificate și tratate devreme.
Rezervă Consultația
Fă primul pas fără niciun risc! Rezervă o consultație, iar echipa noastră îți va oferi o evaluare completă, claritate în opțiuni și un plan personalizat — fără grabă, fără obligații și cu rambursarea costului în planul de tratament.
Ce include consultația?
- Plan de Tratament GRATUIT
- 100 Lei REDUCERE
- Rambursarea costului în planul de tratament
- Plan de Tratament GRATUIT
- 100 Lei REDUCERE
- Rambursarea costului în planul de tratament
Unde ne găsești?
Suntem aici pentru tine, oricând ai nevoie de un zâmbet în plus. Găsește-ne ușor și contactează-ne pentru programări sau întrebări.
Adresa
Strada Zizin 6, Sector 3, București
Orar
Luni - Vineri: 09:00 - 20:00
Sambătă: Închis
Duminică: ÎnchisDate contact
Clinica Dr. Jawoosh
+40 724 181 992
+40 731 767 333
contact@drjawoosh.ro
clinicadrjawoosh@gmail.com