Dacă ai pierdut destui dinți încât să nu mai poți mânca sau zâmbi confortabil, atunci...
Salvează-ți dinții cu Protocolul Restaurativ Dr. Jawoosh™,minim invaziv și cu durere minimă!
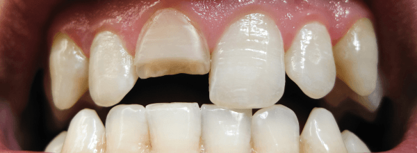
Refacem rapid dinții afectați de carii, fracturi sau fisuri cu tratamente moderne, minim invazive și complet estetice. Fără durere. Fără rușine. Fără compromisuri. Doar dinți sănătoși și funcționali.
- List Item #1
- List Item #1
- List Item #1
- List Item #1
- List Item #1
- List Item #1
- List Item #1
- List Item #1
Zâmbetul tău nu mai trebuie să sufere.
Știu ce simți…
Ai simțit o înțepătură când ai băut ceva rece…
Ai o carie de care știi de ceva timp, dar o tot ignori…
Sau poate ai un colț de dinte rupt, care nu te doare mereu — dar te deranjează când zâmbești.
Și poate cea mai grea parte?
Frica de dentist. Sau rușinea că „ai lăsat-o prea mult”.
Poate ai avut o experiență neplăcută în trecut.
Sau poate frica de durere și anestezie a fost prea mare.
Așa că ai tot amânat, sperând că „nu e chiar așa grav”.
Dar realitatea e simplă: cu cât aștepți mai mult, cu atât problema se agravează.
Protocolul Restaurativ Dr. Jawoosh™ este gândit special pentru tine — pacientul modern, care vrea soluții rapide, eficiente și fără durere.
Refacem dinții afectați de carii sau fracturi într-o singură ședință, cu materiale moderne, estetice și biocompatibile.
Minim invaziv și cu un minim de disconfort.
E timpul să reparăm ce s-a stricat — și să-ți redăm încrederea în zâmbetul tău.
Cine poate beneficia de tratament?
Protocolul Restaurativ Dr. Jawoosh™ este ideal pentru oricine se confruntă cu dinți afectați de carii, fracturi, fisuri sau alte probleme care necesită reconstrucții sigure, estetice și minim invazive.
Ai una sau mai multe carii vizibile sau profunde
Dacă observi pete maronii, cavități sau simți durere la rece/dulce, este momentul să intervii. Tratamentul conservator modern previne pierderea dintelui și elimină complet durerea.
Ai un dinte fisurat, ciobit sau fracturat parțial
Fie că e rezultatul unui accident, mușcăturii din ceva tare sau pur și simplu uzurii în timp, îți refacem dintele cu materiale estetice, într-un singur pas.
Simți sensibilitate dentară la rece, cald sau dulce
Sensibilitatea nu trebuie ignorată — poate fi semnul unei carii ascunse sau al smalțului deteriorat. Tratamentul corect te scapă rapid de disconfort.
Vrei să înlocuiești plombe vechi, inestetice sau instabile
Materialele moderne sunt biocompatibile, durabile și perfect integrate în culoarea dinților — fără linii gri sau margini vizibile.
Am redat sute de zâmbete
Nimic nu spune mai multe decât poveștile celor care au trecut deja prin această transformare. Vezi ce spun pacienții care au ales dinți ficși în 24 de ore și cum le-a schimbat viața această decizie.
Publicat pe Claudiu Nicolae DrăgănoiuTrustindex verifică că sursa originală a recenziei este Google. Sunt foarte mulțumit de serviciile oferite de acest cabinet! Dr. Jawoosh este un adevărat expert, iar echipa este profesionistă și amabilă. M-au făcut să mă simt în siguranță și bine îngrijit. Recomand cu încredere!Publicat pe Cosmin NeaguTrustindex verifică că sursa originală a recenziei este Google. Foarte profesionisti! Recomand cu incredere!🤝Publicat pe AlzTrustindex verifică că sursa originală a recenziei este Google. Good place for implants and crowns.Publicat pe Sami GhafouriTrustindex verifică că sursa originală a recenziei este Google. O clinica de nota 10, recomand cu drag dr Ali Jawoosh! Un chirurg exceptional!!Publicat pe Stefania IoniciTrustindex verifică că sursa originală a recenziei este Google. Am fost pentru o descoperire de implant și protezare la domnul doctor Ali si totul a fost super ok 👏Publicat pe Mariana MilitaruTrustindex verifică că sursa originală a recenziei este Google. Recomand cu toată încrederea profesionalismul, amabilitatea, și căldura sufleteasca a acestor oameni(doctori) tineri și frumoși și mulțumesc pentru extracții și implanturi fără dureri. Spor la lucruPublicat pe Daianca marcovTrustindex verifică că sursa originală a recenziei este Google. Super profesioniști! Servicii impecabile, amabilitate, promptitudine. Recomand cu încredere. Vă mulțumesc 🙏Certificat de: TrustindexInsigna verificată Trustindex este Simbolul Universal al Încrederii. Doar cele mai bune companii pot obține insigna verificată cu un scor de recenzie deasupra 4.5, bazat pe recenziile clienților din ultimele 12 luni. Citește mai mult
Cazuri Înainte - După
Dinți Ficși
Lorem ipsum dolor sit amet, consectetur adipiscing elit. Ut elit tellus, luctus nec ullamcorper mattis, pulvinar dapibus leo.
Dinți Ficși
Lorem ipsum dolor sit amet, consectetur adipiscing elit. Ut elit tellus, luctus nec ullamcorper mattis, pulvinar dapibus leo.
Dinți Ficși
Lorem ipsum dolor sit amet, consectetur adipiscing elit. Ut elit tellus, luctus nec ullamcorper mattis, pulvinar dapibus leo.
Avantajele tratamentului odontoterapeutic
Refacem dinții afectați fără durere, fără stres și fără compromisuri estetice — cu rezultate naturale, durabile și complet integrate în zâmbetul tău.
Fără durere, fără frică
Tratamentul se realizează sub anestezie locală blândă sau chiar fără anestezie, în funcție de caz. Pacienții spun adesea: „nici n-am simțit că s-a lucrat.”
Minim invaziv, cu tehnologie modernă
Se păstrează cât mai mult din structura naturală a dintelui. Folosim freze fine și tehnici conservatoare — nu pilim dinții inutil.
Estetică perfect integrată
Materialele compozite sau ceramice sunt alese special pentru a se potrivi perfect cu nuanța și textura naturală a dintelui — fără linii vizibile, fără „plombe urâte”.
Rezultate într-o singură ședință
În cele mai multe cazuri, dintele este curățat, reconstruit și finisat în aceeași vizită — rapid, eficient, complet.
Durabilitate ridicată
Materialele moderne sunt rezistente la presiune și uzură, păstrând forma și culoarea zâmbetului ani de zile, dacă sunt corect întreținute.
Fără frezare agresivă sau senzații neplăcute
Sunetul enervant al frezei? Minimizat. Vibrațiile inconfortabile? Aproape inexistente. Întregul proces este gândit pentru liniștea ta.
Materiale biocompatibile și sigure
Nu conțin metale, nu provoacă reacții adverse, sunt perfect tolerate de organism și nu afectează țesuturile înconjurătoare.
Ușor de întreținut și igienizat
Reconstrucțiile se comportă ca dinții naturali: le periezi, le cureți și le verifici periodic — fără produse speciale, fără bătăi de cap.7
Zâmbete care vorbesc de la sine.
Fiecare zâmbet reconstruit spune o poveste — despre încredere recâștigată, despre viață trăită fără jenă și despre oameni care au făcut pasul spre o schimbare reală. Vezi ce spun cei care au trecut prin această experiență.
Prima consultație GRATUITĂ
Primul pas nu ar trebui să te coste nimic, așa că te așteptăm să ne cunoaștem complet gratuit.
Etapele tratamentului
Fiecare etapă este concepută pentru confortul tău, salvarea structurii dentare și un rezultat estetic perfect. Totul se face simplu, rapid și fără durere.
Consultația inițială + diagnostic digital
Medicul examinează cu atenție dintele afectat și identifică tipul de leziune (carie, fisură, plombă veche etc.). Se poate realiza o radiografie sau scanare digitală pentru a evalua profunzimea problemei.
Izolarea și pregătirea zonei
Pentru confort și siguranță, zona este izolată cu digă (folie specială) care protejează restul gurii. Se aplică anestezie locală doar dacă este necesar — de cele mai multe ori, pacientul nu simte nimic.
Curățarea țesuturilor afectate
Carie? Fractură? Se îndepărtează doar partea compromisă, păstrând cât mai mult din dintele sănătos. Se folosesc instrumente moderne, minim invazive, cu vibrații reduse și precizie maximă.
Reconstrucția dintelui
Medicul aplică strat cu strat un material compozit sau ceramic lichid, modelând dintele pentru a reda forma și funcționalitatea naturală. Rezultatul este estetic, rezistent și complet funcțional.
Finisare și verificare mușcătură
După întărirea materialului, se ajustează forma și se verifică mușcătura. Dintele este apoi lustruit până la o suprafață perfect netedă, care se integrează natural în zâmbetul tău.
Instrucțiuni post-tratament și îngrijire
La final, primești recomandări personalizate de igienă și prevenție, ca să te bucuri de rezultate durabile. Dacă ai alte leziuni sau carii incipiente, medicul îți propune un plan simplu, etapizat.





Îți Oferim și Prețul Cel Mai Mic
Lorem ipsum dolor sit amet, consectetur adipiscing elit. Suspendisse varius enim in eros elementum tristique. Duis cursus, mi quis viverra ornare, eros dolor interdum nulla, ut commodo diam libero vitae erat.
Dantură fixă pe 4 implanturi
13,600 RON
12,700 RON
Include:
- List Item #1
- List Item #1
- List Item #1
- List Item #1
- List Item #1
- List Item #1
Dantură fixă pe 4 implanturi
13,600 RON
12,700 RON
Include:
- List Item #1
- List Item #1
- List Item #1
- List Item #1
- List Item #1
- List Item #1
Dantură fixă pe 4 implanturi
13,600 RON
12,700 RON
Include:
- List Item #1
- List Item #1
- List Item #1
- List Item #1
- List Item #1
- List Item #1
Dantură fixă pe 4 implanturi
13,600 RON
12,700 RON
Include:
- List Item #1
- List Item #1
- List Item #1
- List Item #1
- List Item #1
- List Item #1
Dantură fixă pe 4 implanturi
13,600 RON
12,700 RON
Include:
- List Item #1
- List Item #1
- List Item #1
- List Item #1
- List Item #1
- List Item #1
Dantură fixă pe 4 implanturi
13,600 RON
12,700 RON
Include:
- List Item #1
- List Item #1
- List Item #1
- List Item #1
- List Item #1
- List Item #1
Echipa noastră
Lorem ipsum dolor sit amet, consectetur adipiscing elit. Suspendisse varius enim in eros elementum tristique. Duis cursus, mi quis viverra ornare, eros dolor interdum nulla, ut commodo diam libero vitae erat.
Dr. Ali Jawoosh
Medic Coordonator
Dr. Fatma Kambash
Specialist Ortodonție și Ortopedie Dento-Facială
Dr. Simon Sorin
Medic Primar Anestezie si Terapie Intensivă
Dr Zac Rifai
Specialist chirurgie plastică
Add Your Heading Text Here
Lorem ipsum dolor sit amet, consectetur adipiscing elit. Suspendisse varius enim in eros elementum tristique. Duis cursus, mi quis viverra ornare, eros dolor interdum nulla, ut commodo diam libero vitae erat.
Lucrarea finala
După ce implanturile s-au integrat complet, urmează pasul cel mai important: realizarea lucrării definitive.
O bază solidă pentru zâmbetul tău definitiv
După aproximativ 4-6 luni pana la 1 an de la inserarea implanturilor și montarea lucrării provizorii, urmează etapa finală: aplicarea danturii definitive. În acest interval, implanturile s-au osteointegrat complet, oferind o bază solidă pentru lucrarea permanentă.
Tehnologie, precizie și estetică personalizată
Etapa începe cu o evaluare clinică și imagistică pentru a verifica stabilitatea implanturilor. Apoi, se realizează amprente digitale sau clasice, iar tehnicianul dentar creează o lucrare personalizată, adaptată perfect fizionomiei și dorințelor estetice ale pacientului.
Tu alegi forma, culoarea și detaliile finale
Pacientul are un rol activ în alegerea formei, nuanței și poziției dinților, pentru un rezultat cât mai natural. Se face o probă estetică, în care se ajustează toate detaliile pentru confort maxim și un zâmbet armonios. Bugetul acesteia pornește de la 10000 lei in funcție de materialul ales.
Lorem ipsum dolor sit amet, consectetur adipiscing elit. Ut elit tellus, luctus nec ullamcorper mattis, pulvinar dapibus leo.
Întrebări Frecvente (FAQ)
Ai întrebări? E normal. Aici am adunat cele mai frecvente nelămuriri despre protocolul „Dinți ficși în 24 de ore”, astfel încât să ai toate informațiile înainte să faci pasul spre un zâmbet nou.
Doare această intervenție?
Inserarea implanturilor se realizează FǍRǍ DURERE, datorită anesteziei locale. Imediat după intervenție medicul va prescrie medicamentația necesară pentru a reduce durerile si inflamația post-operatorie.
Ce investigație se face înaintea începerii tratamentului?
Înainte de începerea tratamentului este necesară o tomografie computerizată (CT), pe baza căreia se va pune un diagnostic concret. Prin intermediul CT-ului, medicul chirurg va evalua densitatea osulu si va indentifica poziția formațiunilor anatomice cum ar fi: nervul alveolar și gaura mentoniera la mandibulǎ și sinusul maxilar.
Totodata în funcție de starea dvs. de sănătate se vor cere suplimentar teste de sânge.
Cât de sigure sunt implanturile dentare?
Implanturile dentare au o rată de succes de peste 95%, dacă sunt plasate de un specialist
experimentat și dacă pacientul respectă instrucțiunile de îngrijire post-operatorie. În cazuri
rare, pot apărea complicații, dar majoritatea sunt gestionabile dacă sunt detectate la timp.
Pof fi respinse de organism implanturile dentare?
Respingerile sunt rare, dar pot apărea în cazuri în care implantul nu se integrează
corespunzător cu osul sau dacă există o infecție. De obicei, implanturile sunt realizate din
materiale biocompatibile, ceea ce reduce semnificativ riscul de respingere.
Este necesară o îngrijire specială pentru implanturi?
Îngrijirea implanturilor este similară cu cea a dinților naturali: periaj de două ori pe zi,
folosirea aței dentare, și vizite regulate la dentist. Este important să se evite forțarea
excesivă a implanturilor și să se mențină o igienă orală excelentă pentru a preveni
infecțiile.
Pot fuma după inserarea implanturilor?
Pot fuma după inserarea implanturilor? Este recomandată evitarea fumatului, deoarece nicotina afectează vindecarea de după operație mai mult de atât, fumatul are efect negativ și în ceea ce privește osteointegrarea, transformând vindecarea într-un proces mult mai îndelungat.
Ce trebuie să fac la finalul intervenției?
După inserarea implanturilor dentare, este necesar sǎ respectați indicațiile medicului chirurg.
Acestea pot include: regim alimentar, igiena riguroasa, controale periodice post-operatorii.
Ce fac dacă nu am suficient os pentru implant?
Dacă osul maxilarului nu este suficient pentru a susține un implant, există opțiuni de
augmentare osoasă, cum ar fi grefele osoase sau sinus lift-ul, care pot adăuga volum osos
și permit plasarea implantului.
Cât timp rezistă un implant dentar?
Cu o îngrijire orală adecvată și vizite regulate la dentist, un implant dentar poate dura o
viață întreagă. Coroanele dentare care sunt atașate la implanturi pot necesita înlocuire
după 10-15 ani, în funcție de uzură.
Ce riscuri sau complicații pot apărea?
Deși riscurile sunt rare, pot apărea complicații precum infecția, sângerarea excesivă,
afectarea nervilor sau respingerea implantului. Majoritatea acestor riscuri pot fi gestionate
dacă sunt identificate și tratate devreme.
Rezervă Consultația Ta GRATUITĂ
Fă primul pas fără niciun risc! Rezervă o consultație gratuită, iar echipa noastră îți va oferi o evaluare completă, claritate în opțiuni și un plan personalizat — fără grabă, fără costuri, fără obligații.
Ce include consultația?
- Plan de Tratament GRATUIT
- Interpretare Radiografie/CT
- Fără limită de timp
- Plan de Tratament GRATUIT
- Interpretare Radiografie/CT
- Fără limită de timp
Unde ne găsești?
Suntem aici pentru tine, oricând ai nevoie de un zâmbet în plus. Găsește-ne ușor și contactează-ne pentru programări sau întrebări.
Adresa
Strada Zizin 6, Sector 3, București
Orar
Luni - Vineri: 09:00 - 20:00
Sambătă: Închis
Duminică: ÎnchisDate contact
Clinica Dr. Jawoosh
+40 724 181 992
+40 731 767 333
contact@drjawoosh.ro
clinicadrjawoosh@gmail.com