Cazurile noastre de succes

Fiecare zâmbet pe care îl vezi aici spune o poveste reală. Oameni ca tine, care au avut curajul să facă o schimbare și au ales expertiza noastră pentru a-și recăpăta încrederea.

Dinți Ficși în 24 Ore

After
Before

Ionuț - Dantură fixă pe 6 implanturi

Reabilitare totală cu dantură fixă pe 6 implanturi dentare, a unui pacient care s-a prezentat cu parodontoză avansată și multiple infecții osoase.

After
Before

Valentin - Dantură fixă pe 6 implanturi

Reabilitare totală cu dantură fixă (6 implanturi dentare sus și 6 jos), plus adiție osoasă a unui pacient care s-a prezentat cu parodontoză avansată și multiple infecții osoase.

After
Before

George - Dantură fixă pe 4 implanturi

Reabilitarea arcadei superioare cu  dantură fixă pe 4 implanturi clasice și 2 pterigoidiene, a unui pacient cu parodontoză avansată, lucrări vechi și mobile, și dinți irecuperabili.

After
Before

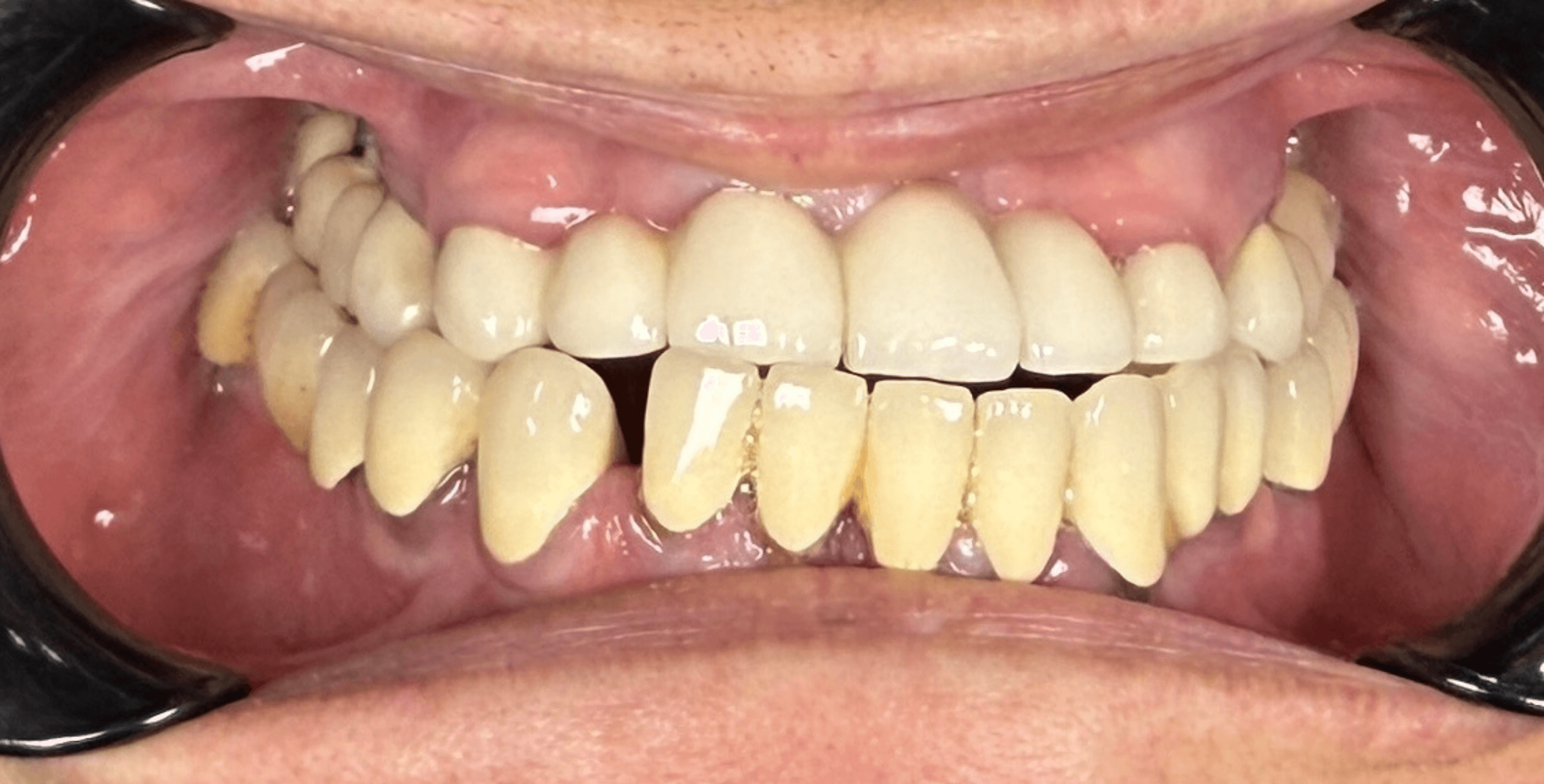
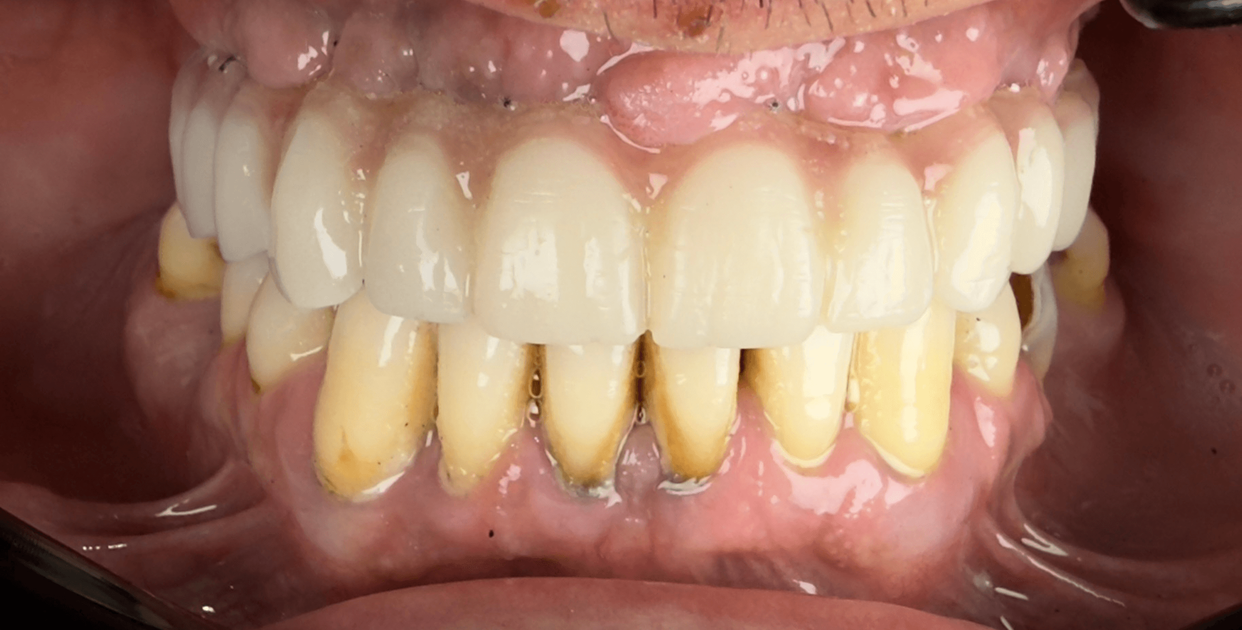
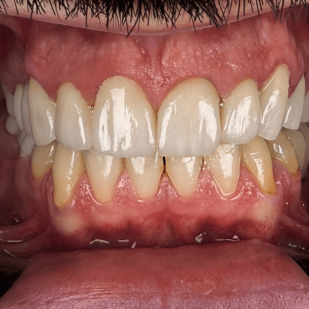
Emilian – Dantură fixă pe 6 implanturi

Emilian s-a prezentat cu mobilitate dentară, parodontoză avansată și nemulțumit de aspectul zâmbetului. S-a realizat o reabilitare completă într-o zi cu 6 implanturi la maxilar și lucrări provizorii fixate sus și jos. Lucrarea definitivă va fi aplicată după 6–8 luni.

After
Before

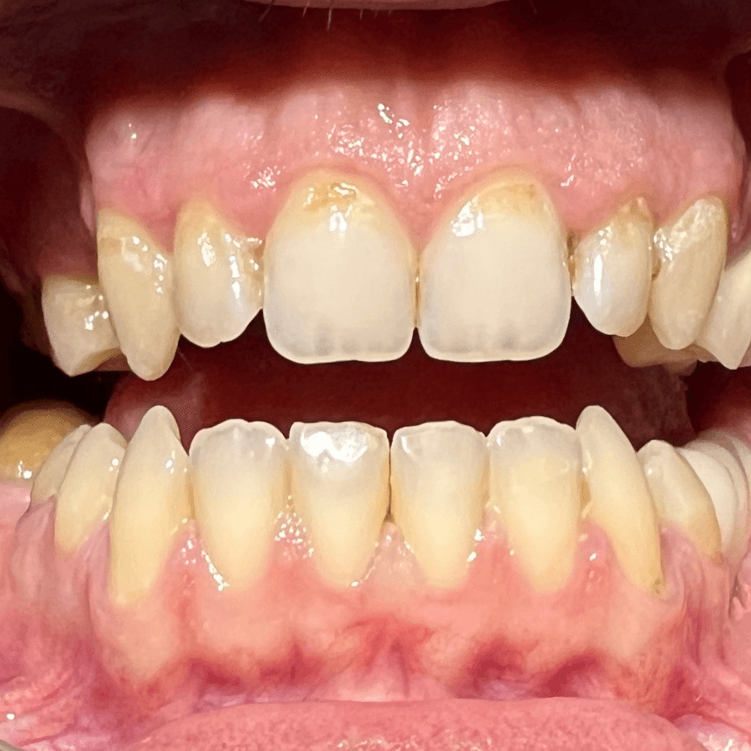
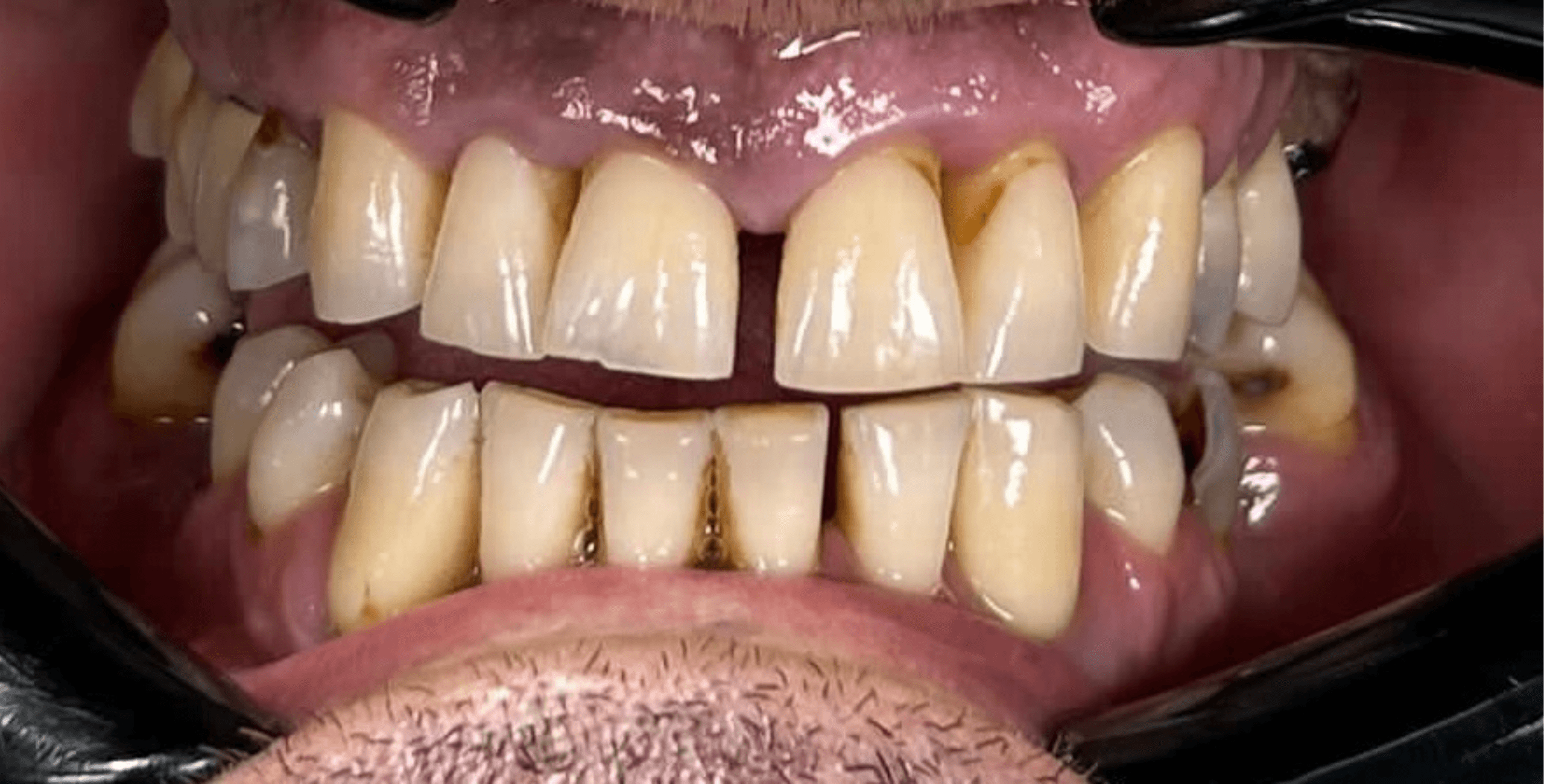
Emilia – Dantură fixă pe 6 implanturi

Cu parodontoză avansată, dinți irecuperabili și mobilitate dentară, Emilia a ales o reabilitare completă într-o singură zi. S-au inserat 6 implanturi la maxilar, cu adiție osoasă și lucrări provizorii fixate sus și jos. După 6–8 luni, se va aplica lucrarea finală personalizată.

After
Before

Alexandru – Dantură fixă pe 4 implanturi

Purtător de proteză mobilă pe care nu o mai tolera, Alexandru s-a confruntat cu dificultăți de masticație și o calitate a vieții afectată. A beneficiat de o reabilitare fixă într-o zi cu 4 implanturi la maxilar și lucrări provizorii sus și jos. Lucrarea definitivă urmează după 6–8 luni.

After
Before

Nicoleta – Dantură fixă pe 6 implanturi

Nicoleta s-a prezentat cu mobilitate dentară, lucrări vechi și nemulțumită de aspectul zâmbetului. A fost realizată o reabilitare fixă într-o zi cu 6 implanturi la maxilar și lucrări provizorii sus și jos. Lucrarea definitivă va fi aplicată după integrarea completă a implanturilor.

After
Before

Adriana – Dantură fixă pe 6 implanturi

Adriana s-a confruntat cu lucrări vechi, dinți irecuperabili, mușcătură incorectă și tensiune musculară. A beneficiat de o reabilitare completă într-o zi, cu 6 implanturi sus, 6 jos, adiție osoasă și lucrări provizorii fixe. După 6–8 luni, va fi montată lucrarea finală, personalizată.

Fațete Dentare

After
Before

Raluca - Fațete, implanturi și albire

Tratamentul a inclus 10 fațete eMax premium, 3 implanturi Neodent și albire dentară. Totul realizat după tratament ortodontic, pentru o mușcătură corectă și estetică.
After
Before

Andrei - Fațete, coroane și implanturi

Pacientul a venit la clinică nemulțumit de forma dinților și cu disconfort la masticație din cauza lipsei unora în zona posterioară. A urmat un tratament complet cu fațete, coroane și implanturi.

After
Before

Adrian - Coroane zirconiu

Pacientul a venit nemulțumit de zâmbet și cu lucrări dentare vechi. S-a realizat o reabilitare estetică completă a maxilarului prin coroane din zirconiu, pentru un rezultat natural și durabil.

After
Before

Alexandra - Fațete, coroane și tratament ortodontic

Pacienta s-a prezentat cu mușcătură incorectă și dinți înghesuiți. După un tratament ortodontic de 2 ani, s-a realizat o reabilitare estetică superioară cu fațete și coroane EMax, completată de albire dentară la arcada inferioară.
After
Before

Camelia – Coroane zirconiu + E-max și albire

Nemulțumită de forma și culoarea dinților, cu un zâmbet asimetric și dinți tociți, Camelia a urmat un tratament complet cu planificare digitală Smile Design și coroane din zirconiu stratificat cu ceramică E-max la arcada superioară, completat de albire la arcada inferioară.

Programează-ți Consultația

Rezervă-ți consultația acum și primește un discount de 100 lei, plan de tratament GRATUIT și rambursarea costului din prețul tratamentului.